- 1 What Is Pericoronitis?
- 2 Why Pericoronitis Develops Around a Wisdom Tooth
- 3 Common Pericoronitis Symptoms
- 4 Is Pericoronitis Dangerous?
- 5 Pericoronitis Treatment Options
- 6 Can Pericoronitis Resolve Without Treatment?
- 7 How Long Does Pericoronitis Last?
- 8 How to Reduce the Risk of Pericoronitis
- 9 Frequently Asked Questions (FAQ)
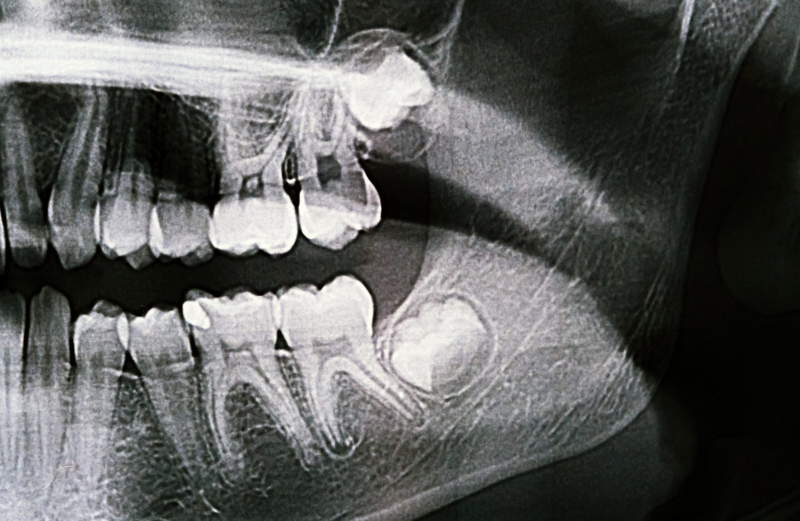
What Is Pericoronitis?
Pericoronitis is an inflammatory condition affecting the soft tissues surrounding a partially erupted wisdom tooth. It develops when a flap of gum tissue covers part of the tooth, creating an environment where plaque, food debris, and bacteria can easily accumulate.
This condition most commonly involves lower wisdom teeth, as they frequently erupt incompletely or at an unfavorable angle. Limited access for cleaning allows inflammation and infection to develop quickly in the surrounding gingival tissues.
Why Pericoronitis Develops Around a Wisdom Tooth
Pericoronitis usually occurs when a wisdom tooth cannot fully erupt into the oral cavity. The remaining gum tissue forms a pocket that traps bacteria and irritants.
Contributing factors include poor oral hygiene, impacted or partially impacted third molars, trauma caused by contact with the opposing tooth, and temporary immune system changes. Together, these factors allow inflammation to persist and increase the risk of infection.

Common Pericoronitis Symptoms
Symptoms may worsen rapidly without treatment. The inflamed tissue around the erupting wisdom tooth often becomes red, swollen, and painful.
Patients commonly report discomfort during chewing or swallowing, restricted mouth opening, jaw stiffness, and an unpleasant taste or odor. In more advanced cases, fever or general fatigue may accompany local symptoms.
Is Pericoronitis Dangerous?
Yes.
If left untreated, pericoronitis can spread beyond the local gum tissue surrounding the wisdom tooth. Infection may extend to nearby spaces in the jaw, leading to facial swelling or more serious odontogenic complications.
Early dental evaluation is essential to control inflammation and prevent progression.
Pericoronitis Treatment Options
Treatment depends on symptom severity and the position of the affected wisdom tooth.

Cleaning and Irrigation
Initial management focuses on thoroughly cleaning the area beneath the gum flap. Removing debris and bacteria helps reduce inflammation and discomfort.
Antibiotic Support
Antibiotics may be prescribed when there are signs of spreading infection or systemic involvement. They support treatment but are not considered a definitive solution.
Pain and Inflammation Control
Anti-inflammatory medications are commonly used to manage pain. Maintaining excellent oral hygiene during recovery is essential.
Wisdom Tooth Removal
When inflammation repeatedly returns, extraction of the problematic wisdom tooth is often recommended. This eliminates the anatomical cause of recurrence and prevents future episodes.
Can Pericoronitis Resolve Without Treatment?
Mild symptoms may temporarily improve, but the condition frequently returns if the underlying eruption issue of the wisdom tooth remains. Long-term resolution generally requires professional dental care.
How Long Does Pericoronitis Last?
With proper treatment, symptoms often improve within a few days. Complete recovery depends on oral hygiene practices and whether the wisdom tooth is retained or removed.
Repeated episodes usually indicate that extraction should be considered.
How to Reduce the Risk of Pericoronitis
Preventive measures include careful brushing around partially erupted wisdom teeth, using antibacterial mouth rinses when advised, regular dental check-ups, and early evaluation of impacted third molars, along with professional cleaning, timely symptom monitoring, and individualized guidance from dental professionals.
Frequently Asked Questions (FAQ)
Is pericoronitis the same as a tooth infection?
No. It affects the gum tissue surrounding a partially erupted wisdom tooth, not the tooth root or pulp.
Can pericoronitis cause jaw pain?
Yes. Jaw stiffness and referred ear pain are common.
Is pericoronitis an emergency?
Severe pain, swelling, or fever requires urgent dental assessment.
Does removing the wisdom tooth prevent recurrence?
In most cases, yes. Extraction removes the source of ongoing inflammation.
Can home care cure pericoronitis?
Home care may relieve symptoms temporarily, but professional treatment is necessary.








