


Oral, dental, and maxillofacial radiology is the dental discipline where the diagnosis of diseases in the oral, dental, and maxillofacial region and the determination of treatment options are carried out clinically and radiologically. Oral and maxillofacial radiology services in Istanbul aim to detect and evaluate any pathologies or anomalies through radiographs taken from the oral, dental, and maxillofacial region. Based on this information, a personalized treatment plan is prepared for each individual, and patients are referred to clinics where these treatments are performed.
Oral, dental, and maxillofacial radiology is a crucial element in comprehensive dental care. It utilizes various imaging techniques, such as periapical radiographs, panoramic radiographs, cone beam computed tomography (CBCT), and occlusal radiographs. These tools provide valuable insights into the underlying structures of the mouth, teeth, and jaws, allowing dentists to diagnose and treat a wide range of conditions, including dental caries, periodontal disease, infections, tumors, and developmental abnormalities. Early detection and accurate diagnosis through oral, dental, and maxillofacial radiology can significantly impact treatment outcomes and improve overall oral health.
With the advancement of digital imaging and ultrasound technology, various services are provided in the fields of Oral, Dental, and Maxillofacial Radiology. These diagnostic procedures also play an essential role in Radiology – Intraoral Diagnosis in Turkey, supporting early and accurate detection of multiple oral conditions.
Oral symptoms usually have underlying bone and skeletal structures beneath the soft tissues. Radiographs can reveal structures that are not clinically visible, helping dentists to deal with many unidentified problems. The advantages and applications of oral, dental, and maxillofacial radiology can be listed as follows:
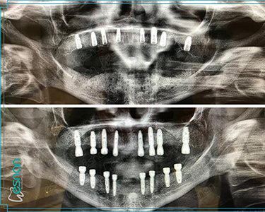
Planning for dental implants

Dental examination is not always limited to dentistry. Some oral symptoms can be indicative of systemic-general widespread serious diseases. For example, gum bleeding can be a sign of a dental syndrome, but it can also indicate serious diseases such as leukemia. Oral cancers account for up to 5% of all cancers, and dental examinations are necessary for early diagnosis. This highlights the importance of Radiology – Intraoral Diagnosis in Turkey, ensuring accurate evaluation of hidden structures and early detection of critical conditions.
Oral, dental, and maxillofacial radiology is an indispensable tool in diagnosing and treating various conditions that affect the mouth, teeth, and jaws. Through radiographs and other imaging modalities, dental professionals can visualize structures not readily visible during a clinical examination. This allows for early detection of dental caries, periodontal disease, infections, tumors, cysts, and developmental anomalies, among others. Early diagnosis and accurate assessment through radiographic imaging are crucial for determining the most appropriate treatment course, leading to improved patient outcomes and overall oral health.

Our Radiology Unit in Istanbul is equipped with state-of-the-art technology to provide comprehensive dental imaging services. We offer a range of examinations, from standard panoramic X-rays to more advanced 3D imaging like CBCT scans. These services are a core component of Radiology – Intraoral Diagnosis in Turkey, supporting detailed assessment and precise treatment planning.
Each examination listed above serves a specific purpose in dental diagnostics. Panoramic X-rays provide a broad view of your teeth, jaws, and surrounding structures, while intraoral radiography offers detailed images of individual teeth. Cephalometric X-rays assess facial growth and development, and CBCT scans provide detailed 3D images for complex cases like implant planning and oral surgery. Our experienced team is dedicated to utilizing these technologies to deliver precise and personalized care for every patient.